Breakdancers warned repetitive headspins could give them a ‘cone-head’

Breakdancers have been warned repetitive headspins may cause them to develop a “cone-head”.
It follows the case of a man in his 30s in Denmark who developed a “breakdance bulge” after “extensive” breakdancing for almost two decades.

His training regime consisted of around five sessions each week, each lasting around 1.5 hours, including two to seven minutes where pressure was applied to the head.
The man kept on headspinning even though the mass caused him discomfort and was “aesthetically displeasing to the patient” who wore a hat in public to hide it, according to a paper published in the journal BMJ Case Reports.
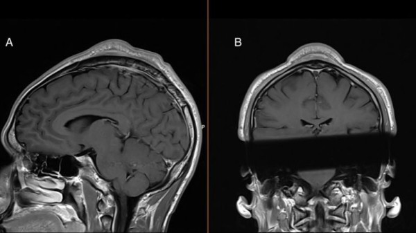
Medics ruled out cancer and other potential diseases before diagnosing a “headspin hole”.
“It manifests as a fibrous mass on the scalp,” medics said.
“It is characterised by hair loss, inflammation, numbness and sometimes formation of a lump on the scalp. In radiologic descriptions, the term ‘cone-head sign’ is used”, they wrote.
The man sought help and the lump was surgically removed.
Speaking after the operation, the patient, who remains anonymous, said: “The outcome is much better than how it looked before, and I am glad I had it done.
“I would choose to do it again if I had the choice. It is now possible for me to go out in public without a cap/hat which is, of course, a very nice feeling.
“I have received a lot of positive feedback and people say it looks well done, that I have a nice scar and that my overall appearance has improved significantly. Many say that they no longer notice that I have a bump and that my head looks completely normal.”

Follow Sky News on WhatsApp
Keep up with all the latest news from the UK and around the world by following Sky News
Breakdancing involves a range of complex and physically demanding techniques which can put strain on certain parts of the body.
The intricate nature of these movements “render breakdancers particularly prone to injuries”, the report said.
Dr Christian Baastrup Sondergaard, one of the authors of the paper and a neurosurgeon at Copenhagen University Hospital, told the PA news agency: “This report does not advocate against headspinning entirely.
“However, breakdancers who notice the early development of a breakdance bulge should consider reducing or avoiding headspins, as continuing may lead to further enlargement of the bulge.”
He added: “Although this is a rare condition unique to breakdancers, the successful surgical treatment in this case demonstrates that it is a viable option for symptom relief and improved quality of life for affected individuals.
“As only one prior case was reported, this case adds valuable information to the medical literature. It could encourage further studies on breakdancing injuries, possibly identifying other underreported conditions or mechanisms of injury.”
Breakdancing, or breaking, made its debut as an Olympic sport at this summer’s Paris Games.
It was thrust into the spotlight after a unique and controversial routine by Australian breakdancer Rachael Gunn – who was mocked for her performance – went viral on the internet.
